CALL US NOW :
+971 - (04) 5750768
info@puresmiledentalclinic.com
LOCATION ADDRESS :
Office 404, Doha Center, Al Muraqqabat, Dubai - UAE
Teeth Cleaning in Dubai – UAE
Keep your smile healthy and bright with professional teeth cleaning in Dubai, UAE at Pure Smile Dental Clinic. Our gentle scaling and polishing remove plaque, stains, and tartar for a cleaner, fresher smile.
Other Services
Book an Appointment
Ready for a healthier, brighter smile? Book your appointment today at Pure Smile Dental Clinic and let our expert team take care of you.
Signup our newsletter to get update information, news, insight or promotions.
Teeth Cleaning
Welcome to Pure Smile Dental Clinic in Dubai, UAE, where your dream smile becomes reality! Our professional teeth cleaning services are designed to enhance your oral health and boost your confidence with a sparkling, healthy smile. In the vibrant city of Dubai, where first impressions matter, maintaining pristine dental hygiene is a must. Our expert dentists use advanced techniques to deliver pain-free, thorough teeth cleaning that leaves you feeling refreshed and radiant. Ready to discover why Pure Smile is the go-to choice for teeth cleaning in Dubai? Let’s dive into everything you need to know about our top-tier dental cleaning services, tailored for the UAE market.
Why Professional Teeth Cleaning Matters for Your Smile
Professional teeth cleaning, also known as scaling and polishing, goes beyond your daily brushing and flossing routine. It’s the key to preventing dental issues like cavities, gum disease, and bad breath while keeping your smile bright and healthy. At Pure Smile Dental Clinic in Dubai, we prioritize your oral health with personalized care that ensures long-term results.
The Power of a Healthy Smile in Dubai’s Fast-Paced Lifestyle
In Dubai’s dynamic, cosmopolitan environment, a confident smile can make all the difference, whether you’re networking at a business event or enjoying the city’s vibrant social scene. Regular teeth cleaning removes plaque and tartar buildup, which can lead to serious dental problems if left untreated. Our skilled team at Pure Smile uses state-of-the-art tools to clean hard-to-reach areas, ensuring your teeth stay healthy and your breath stays fresh. With our services, you’ll not only look great but also feel confident in every interaction.
Health Benefits Beyond a Bright Smile
Teeth cleaning isn’t just about aesthetics it’s a cornerstone of overall health. Plaque and tartar can contribute to gum disease, which is linked to serious conditions like heart disease and diabetes. By choosing Pure Smile Dental Clinic in Dubai, you’re investing in preventive care that protects your oral and general health. Our gentle yet effective cleaning process strengthens your enamel, reduces sensitivity, and helps you avoid costly dental treatments down the road.
What to Expect During Teeth Cleaning at Pure Smile Dental Clinic
Wondering what happens during a professional teeth cleaning session? At Pure Smile Dental Clinic in Dubai, we make the process comfortable, efficient, and tailored to your needs. Our expert dentists follow a meticulous approach to ensure your teeth are thoroughly cleaned without any discomfort.
Step-by-Step Teeth Cleaning Process
Our teeth cleaning procedure is designed for maximum effectiveness and comfort. Here’s what you can expect:
Initial Examination: We start with a thorough check of your teeth and gums to identify any specific concerns, such as plaque buildup or early signs of gum disease.
Scaling: Using specialized tools, our dentists carefully remove plaque and tartar from your teeth and along the gumline, targeting areas your toothbrush can’t reach.
Polishing: We polish your teeth with a gentle, gritty paste to smooth the surfaces, remove surface stains, and give your smile a radiant shine.
Flossing and Fluoride: We finish with professional flossing to clear debris between teeth and apply a fluoride treatment to strengthen enamel and protect against cavities.
This comprehensive process at Pure Smile ensures your teeth are clean, healthy, and ready to shine in Dubai’s spotlight.
Pain-Free and Relaxing Experience
Worried about discomfort? At Pure Smile Dental Clinic, we prioritize your comfort. Our advanced techniques and modern equipment ensure a pain-free experience, even for those with sensitive teeth. Our friendly team creates a relaxing environment, so you can sit back and enjoy the process, knowing you’re in expert hands.
How It Work
We strive for excellence
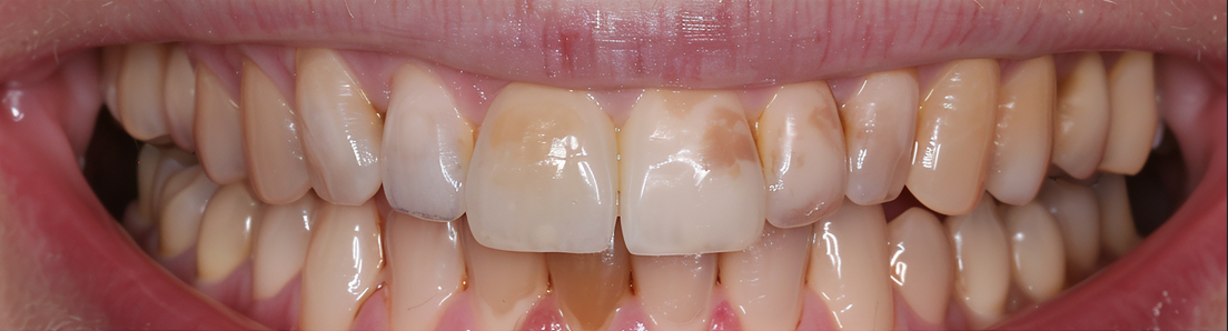
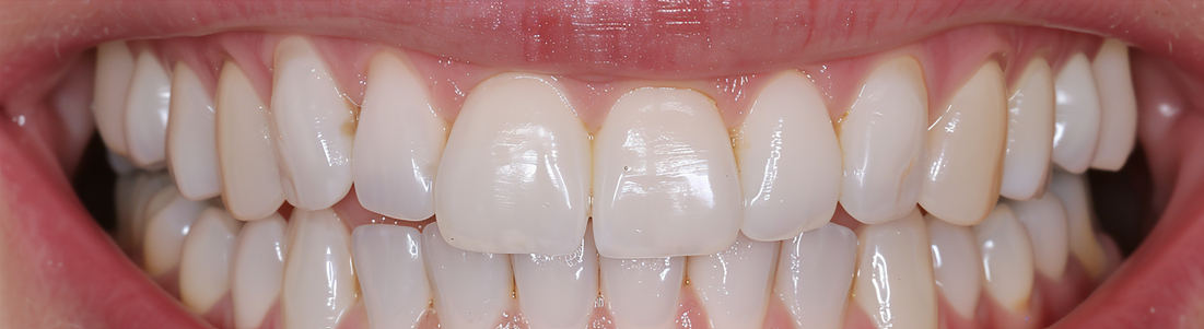
Before | After




Affordable Teeth Cleaning Cost in Dubai
One of the top questions we hear is, “How much does teeth cleaning cost in Dubai?” At Pure Smile Dental Clinic, we believe everyone deserves a healthy smile without breaking the bank. Our competitive pricing makes professional dental care accessible to all in the UAE.
Transparent Pricing for Teeth Cleaning
The cost of teeth cleaning in Dubai typically ranges from AED 200 to AED 500, depending on the clinic and treatment specifics. At Pure Smile, we offer professional teeth cleaning starting at just AED 149 for basic scaling and polishing, and AED 249 for deep cleaning. Our transparent pricing ensures no hidden fees, and we provide tailored packages to suit your needs, whether you’re a resident or a visitor enjoying Dubai’s wellness tourism.
Special Offers for a Brighter Smile
To make dental care even more affordable, Pure Smile Dental Clinic frequently offers discounts, such as our current 17% off on scaling and polishing—bringing the price to just AED 149! These promotions are designed to encourage regular dental care, helping you maintain a healthy smile without straining your budget. Contact us today to learn about our latest offers and book your appointment.
Deep Cleaning Teeth: When Do You Need It?
While regular teeth cleaning is essential, some patients require a deep cleaning to address more stubborn buildup or early gum issues. At Pure Smile Dental Clinic in Dubai, our deep cleaning services are tailored to restore your oral health and prevent future complications.
What Is Deep Cleaning?
Deep cleaning, also known as scaling and root planing, targets plaque and tartar below the gumline. This procedure is ideal for those with early signs of gum disease, heavy plaque buildup, or persistent bad breath. Our experienced dentists at Pure Smile use precise techniques to clean deep pockets around your teeth, ensuring your gums stay healthy and your smile stays bright.
Who Should Get a Deep Cleaning?
You might need a deep cleaning if you notice symptoms like bleeding gums, persistent bad breath, or visible tartar buildup. Smokers, coffee or tea drinkers, and those with braces may also benefit from this thorough treatment. Our team at Pure Smile will assess your oral health and recommend deep cleaning if necessary, ensuring personalized care that meets your needs.
Is Teeth Cleaning Harmful? Debunking Myths
Many people wonder, “Is teeth cleaning harmful?” or worry about potential disadvantages. At Pure Smile Dental Clinic in Dubai, we’re here to set the record straight with expert insights and a commitment to your safety.
Myth: Teeth Cleaning Weakens Enamel
A common misconception is that professional cleaning can damage your enamel. In reality, scaling and polishing at Pure Smile strengthen your teeth by removing harmful plaque and tartar. Our dentists use gentle, non-invasive tools to protect your enamel while enhancing your oral health.
Temporary Sensitivity Is Normal
Some patients experience mild sensitivity after cleaning, especially if they have gum issues or heavy tartar buildup. This is temporary and typically subsides within a day or two. At Pure Smile, we provide aftercare tips, such as avoiding very hot or cold foods for a few hours, to ensure your comfort post-treatment.
Get Started on Your Journey to Better Health
Ready to transform your oral health? Get started on your journey to better dental health with Pure Smile Dental Clinic in Dubai. Our experienced team is here to guide you every step of the way from routine check-ups to advanced treatments all in a comfortable, modern environment.
At Pure Smile, we’re committed to helping you achieve a healthier, more confident smile with personalized care you can trust. Book your appointment today and take the first step toward lasting dental wellness.
How Long After Cleaning Teeth Can I Eat?
A common question we hear at Pure Smile Dental Clinic is, “How long after cleaning teeth can I eat?” The answer depends on the type of cleaning and any additional treatments, but we make it simple with clear guidance.
Post-Cleaning Care Tips
For standard teeth cleaning, you can eat soft foods about 30 minutes after your session, once any numbness from fluoride treatment wears off. If you’ve had a deep cleaning or fluoride application, we recommend waiting 1–2 hours to allow your teeth to settle. Avoid sticky, sugary, or very hot/cold foods for the first 24 hours to maintain your sparkling results. Our team at Pure Smile provides personalized aftercare advice to keep your smile in top shape.
Foods to Enjoy After Cleaning
Stick to soft, non-acidic foods like yogurt, mashed potatoes, or smoothies for the first few hours. These choices are gentle on your freshly cleaned teeth and help maintain the smooth, polished surface. Drinking plenty of water also keeps your mouth hydrated and supports long-lasting cleanliness.
How to Clean Teeth Instantly with Professional Care
While at-home oral hygiene is crucial, nothing beats the instant results of professional teeth cleaning at Pure Smile Dental Clinic in Dubai. Our advanced techniques deliver a brighter, cleaner smile in just one visit.
Instant Results with Scaling and Polishing
Our scaling and polishing services instantly remove stains, plaque, and tartar, giving your teeth a smooth, shiny finish. Whether you’re preparing for a special event or simply want to refresh your smile, Pure Smile’s expert care delivers visible results that boost your confidence right away.
Maintaining Your Smile Between Visits
To keep your teeth sparkling between professional cleanings, brush twice daily with a soft-bristled toothbrush, floss regularly, and use an antiseptic mouthwash. Our dentists at Pure Smile also recommend scheduling cleanings every six months to maintain optimal oral health and prevent buildup.
Why Choose Pure Smile Dental Clinic in Dubai?
With so many dental clinics in Dubai, why should you choose Pure Smile? We stand out by combining expertise, advanced technology, and a patient-first approach to deliver exceptional teeth cleaning services.
Expert Dentists and Cutting-Edge Technology
Our licensed dentists at Pure Smile Dental Clinic are highly trained in the latest dental techniques, ensuring precise and comfortable cleanings. We use advanced tools and adhere to strict safety standards, giving you peace of mind during every visit. Our clinic in the heart of Dubai is equipped with state-of-the-art facilities, making us a top choice for residents and visitors alike.
Personalized Care for Every Patient
At Pure Smile, we understand that every smile is unique. We tailor our teeth cleaning services to your specific needs, whether you’re dealing with sensitive gums, braces, or cosmetic concerns. Our friendly team takes the time to listen to your goals and provides customized solutions that deliver outstanding results.
Convenient Location and Flexible Scheduling
Located in the heart of Dubai, Pure Smile Dental Clinic is easily accessible, just minutes from major landmarks like the Mall of the Emirates. We offer flexible appointment times to fit your busy schedule, whether you’re a local resident or a tourist enjoying Dubai’s vibrant lifestyle. Book your appointment today and experience the Pure Smile difference!
Boost Your Confidence with a Radiant Smile Today
A clean, healthy smile is your best accessory in Dubai’s fast-paced world. At Pure Smile Dental Clinic, we’re committed to helping you achieve a radiant smile that boosts your confidence and enhances your oral health. Our affordable, professional teeth cleaning services are designed to meet the needs of Dubai’s diverse community, delivering results that outshine the competition.
Ready to transform your smile? Contact Pure Smile Dental Clinic in Dubai today to book your teeth cleaning appointment. Take advantage of our special offer—basic cleaning at just AED 149! Let’s work together to keep your smile bright, healthy, and ready to shine in the UAE’s vibrant scene.
How Much Does Teeth Cleaning Cost in Dubai?
The cost of teeth cleaning in Dubai typically ranges from AED 200 to AED 500. At Pure Smile Dental Clinic, we offer basic scaling and polishing for just AED 149 and deep cleaning for AED 249. Our transparent pricing and seasonal promotions, like our current 17% off deal, make professional dental care affordable for everyone in the UAE.
How Often Should I Get My Teeth Cleaned?
Dentists recommend professional teeth cleaning every six months to maintain optimal oral health. At Pure Smile, we create personalized schedules based on your dental needs, ensuring your smile stays bright and healthy year-round. Regular cleanings prevent plaque buildup, cavities, and gum disease, keeping your smile Dubai-ready.
Is Teeth Cleaning Painful or Harmful?
Professional teeth cleaning at Pure Smile is pain-free and safe. Our gentle techniques and advanced tools ensure a comfortable experience, even for sensitive teeth. While mild sensitivity may occur temporarily, it’s not harmful and fades quickly. We provide aftercare tips to maximize your comfort and results.
How Long After Teeth Cleaning Can I Eat or Drink?
You can eat soft foods about 30 minutes after a standard cleaning at Pure Smile, once any fluoride treatment numbness subsides. For deep cleaning, wait 1–2 hours. Avoid sticky, sugary, or extreme-temperature foods for 24 hours to maintain your sparkling smile. Our team provides detailed aftercare guidance for lasting results.
What Are the Benefits of Professional Teeth Cleaning?
Professional teeth cleaning at Pure Smile removes plaque, tartar, and stains, preventing cavities, gum disease, and bad breath. It enhances your smile’s appearance, boosts confidence, and supports overall health by reducing risks linked to gum disease. Our expert care ensures a radiant, healthy smile that shines in Dubai’s vibrant scene.
Testimonial
What They Say
Book Your Appointment To Get Quality Services From Us!
Pure Smile Dental Clinic in Dubai offers world-class dental care with cutting-edge technology and expert specialists.
Our Services
Support
Connect Us
- Office 404, Doha Center, Al Muraqqabat, Al Maktoum Road, Near Union Metro Station, Dubai - UAE
- +971 - (04) 5750768
- +971 - (52) 2987243
- info@puresmiledentalclinic.com
Copyright © 2025 Pure Smile Dental Clinic. All rights reserved.